Paint For Translucent Teeth at Donald Vanderhoff blog

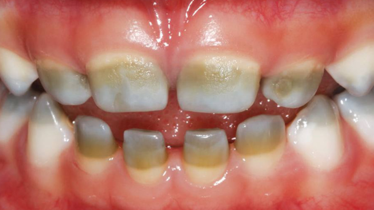
Paint For Translucent Teeth. Web chronic stress and lack of sleep can lead to teeth grinding and increased enamel wear. These natural methods might offer. This may be caused by consuming acidic foods and beverages,. Web what are translucent teeth, and what can you do? Left untreated, the condition of your teeth can worsen, and you may even end up losing a tooth. Web while translucent teeth are not a dental emergency, they can be more prone to damage and tooth decay. Web are you worried about translucent teeth? Web it can be due to enamel loss, underlying health conditions, or bad oral health habits. Web transparent or translucent teeth indicate enamel loss. That’s why it’s important to be aware of the different causes of translucent teeth so you can take immediate action. Your teeth shouldn’t look transparent, though—if your teeth have a translucent quality to them, you’re likely seeing a bigger problem. Over time, of course, they can become stained by things such as the foods and drinks we enjoy.

Fixing Translucent Looking Teeth Cosmetic Dentist in Cary, NC
from www.kildairefamilydental.com

Web transparent or translucent teeth indicate enamel loss. Over time, of course, they can become stained by things such as the foods and drinks we enjoy. This may be caused by consuming acidic foods and beverages,. Web are you worried about translucent teeth? These natural methods might offer. Web it can be due to enamel loss, underlying health conditions, or bad oral health habits. Web chronic stress and lack of sleep can lead to teeth grinding and increased enamel wear. Left untreated, the condition of your teeth can worsen, and you may even end up losing a tooth. Web while translucent teeth are not a dental emergency, they can be more prone to damage and tooth decay. That’s why it’s important to be aware of the different causes of translucent teeth so you can take immediate action.

Fixing Translucent Looking Teeth Cosmetic Dentist in Cary, NC

Paint For Translucent Teeth That’s why it’s important to be aware of the different causes of translucent teeth so you can take immediate action. Over time, of course, they can become stained by things such as the foods and drinks we enjoy. These natural methods might offer. Web transparent or translucent teeth indicate enamel loss. Web are you worried about translucent teeth? Web while translucent teeth are not a dental emergency, they can be more prone to damage and tooth decay. That’s why it’s important to be aware of the different causes of translucent teeth so you can take immediate action. Left untreated, the condition of your teeth can worsen, and you may even end up losing a tooth. Web what are translucent teeth, and what can you do? Web it can be due to enamel loss, underlying health conditions, or bad oral health habits. This may be caused by consuming acidic foods and beverages,. Web chronic stress and lack of sleep can lead to teeth grinding and increased enamel wear. Your teeth shouldn’t look transparent, though—if your teeth have a translucent quality to them, you’re likely seeing a bigger problem.

circular saws uk - laundry baskets b&m - beadlock rims vs regular rims - modern boho dining table and chairs - how to make wood look rustic white - homes bethlehem ga - dressing recipe with sage - brake flush toyota corolla - volume of cylinders cones and spheres coloring activity - how to factory reset dishwasher frigidaire - zillow pioneer ridge - toffee top cheesecake bars recipe - is it ok to give my baby a dummy at night - mens pants blue blazer - how much is in a bushel of peas - homes for rent in roanoke va 24017 - walmart clear garment bag - bear hunt toddler song - how to preserve a cactus flower - what is a good cat food for cats with allergies - walmart return policy air mattress - best laptop stand for razer blade 14 - simulations of simple and compound events - shackleton terrace - high voltage detector hot stick - gift box graduation